Uma criança, do sexo masculino, de 7 anos, precisou ser transferida para Campo Grande após ingerir uma moeda de R$ 1,00, em Paraíso das Águas. O caso foi registrado na noite deste domingo (29), por volta das 18h30, no Jardim Severiano.
De acordo com informações apuradas, a mãe da criança, que está gestante de cinco meses, estava no quarto organizando roupas quando o menino entrou correndo e relatou o ocorrido. Diante da situação, ele foi levado imediatamente ao Pronto Atendimento Médico (PAM) do município.
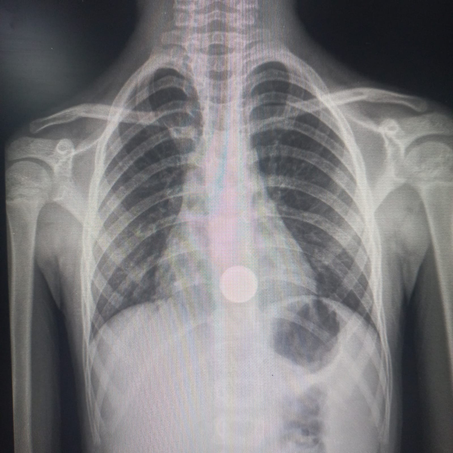
Após avaliação da equipe de saúde, a criança foi transferida para a capital, onde passou por exames mais detalhados. O raio-x confirmou que a moeda está alojada na região do esôfago, exigindo procedimento médico para a retirada do objeto. Até o momento, o paciente permanece sob cuidados especializados, aguardando a extração.
O caso chama a atenção e serve como alerta para pais e responsáveis quanto aos riscos envolvendo objetos pequenos próximos a crianças, especialmente moedas, peças de brinquedos e outros itens que podem ser facilmente ingeridos.
Profissionais de saúde reforçam que, em situações como essa, é fundamental procurar atendimento médico imediato, evitando qualquer tentativa caseira de remoção, o que pode agravar o quadro.
A ocorrência reforça a importância da atenção redobrada no ambiente doméstico, prevenindo acidentes que podem colocar em risco a vida das crianças.











